首页 > 科普深圳 > 科普资源 > 深圳科普资源名录 > 实物类和信息类 > 健康生活 > 信息类

深港创新融合共同打造肺结节手术快速康复路径造福市民朋友 简介:

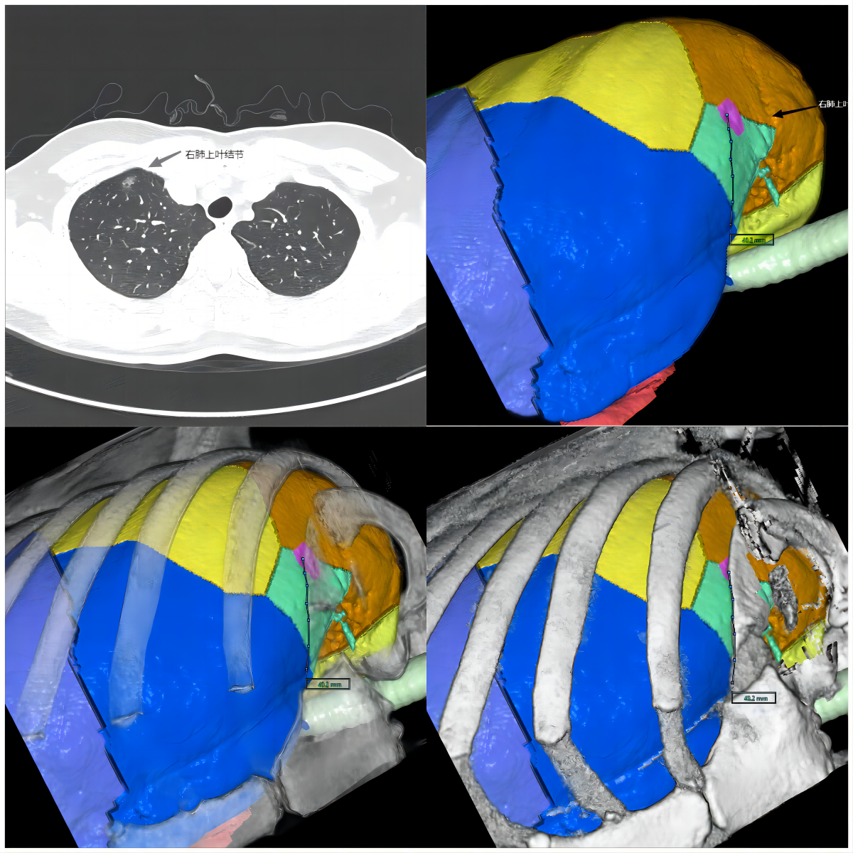
随着人们生活水平和健康意识的不断提高,胸部CT体检筛查的逐渐普及,肺结节在人群里的筛出率在不断攀升,很多患者发现肺部结节后非常的担心,害怕是癌症,也害怕手术带来的不适感或者创伤,这种恐惧感有时候会影响患者的抉择,有时候无法做出正确的选择,甚至错过手术治愈肺结节的时机。希望通过这篇科普文章能够解答罹患肺结节病友们的疑问以及给出一些指导性意见,让他们/她们能够勇敢地与肺结节做斗争。

基本信息:

科普资源名称深港创新融合共同打造肺结节手术快速康复路径造福市民朋友
内容分类外科
形式分类科普读物
单位(个人)名称香港大学深圳医院/邵广强
原创时间2023-06-28
文件格式DOC
关键词肺结节  快速康复  胸腔镜  单孔  无管手术

单位介绍:

香港大学深圳医院是由深圳市政府全额投资、并引进香港大学现代化管理模式的大型综合性公立医院。医院总投资约40亿元,占地面积19.2万平方米,总建筑面积36.7万平方米。医院现拥有床位2000张,目前已经启动二期工程建设,未来将增至3000病床。 医院于2012年7月1日起运营,逐步引进国际一流的先进医院管理经验和医疗技术,为市民提供优质医疗服务。医院以深港合作为契机,全面引进香港大学具国际一流水平之优势学科,并优先打造卓越诊疗中心,包括心血管医学中心、肿瘤医学中心、骨科医学中心、生殖与产前诊断医学中心。同时,医院设立国际医疗中心,提供国际先进水平的高端医疗和健康管理服务,设立华为社康中心提供基层医疗服务,满足市民、香港跨境人员和外籍人士多层次、多元化、个性化的医疗服务需求。 医院于2015年9月通过澳大利亚医疗服务标准委员会(ACHS)全机构认证,2017年11月正式成为国家三级甲等综合医院。2018年6月,医院成功入选广东省高水平医院建设单位,全力打造集“医、教、研、管”为一体的四个粤港澳大湾区国际化中心,包括医疗中心、医学人才培养中心、医学科技创新中心和医院管理创新中心。2021年7月成为国家公立医院高质量发展试点医院,2021年12月成为国家建立健全现代医院管理制度试点医院,将继续探索改革创新路径,配合全国公立医院高质量发展。 未来医院的愿景不仅是发展成为“国内一流、国际知名”的现代化医院,更将成为国际顶尖的教学医院和医学院,为国家培养医疗人才。